更新日:2025年10月15日
血管造影検査・血管内治療
血管造影検査および血管内治療とは
血管内にカテーテルを挿入し、対象となる血管・臓器に対して様々な検査・治療を行うものです。
血管内検査・治療の分野は、おおまかに
- 血管の走行や形態を把握する
- 対象血管や臓器の生理学的情報を得る
- 対象血管・臓器を治療する
以上の3つに分類することが出来ます。目的に応じて検査内容や手技は多岐にわたり、検査・治療にかかる時間も異なってきます。しかし外科的な処置に比べて人体に対する侵襲性は低く、体に負担の少ない検査や治療が期待できます。
近年は血管内の検査や治療に用いるデバイスも日々進歩しており、より安全で迅速な医療を提供しております。
主な検査および治療
当院では、3台の血管造影装置が稼働しています。心臓のカテーテル検査や治療、救急対応等を各々の装置で行っています。カテーテルの手技は多岐にわたりますが、代表的な検査や治療を以下に紹介します。
心臓領域
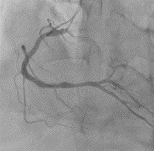
冠動脈造影検査(CAG)
心臓を栄養する冠動脈の状態を調べます。
冠動脈は胸部の大動脈から左右に別々に出ており、それぞれにカテーテルを入れて検査をします。

左冠動脈造影

右冠動脈造影
右心カテーテル検査(RHC)
右房、右心、肺動脈の圧を測定することで心機能を調べます。
また、心拍出量も測定できます。
経皮的冠動脈治療(PCI)
冠動脈検査などによって発見された狭窄部位を拡張させる治療です。
ステントと呼ばれる金属製の筒を留置します。
心臓電気生理学的検査(EPS)
心臓内に電気刺激を与えて、不整脈の原因を調べます。
通常の心電図ではわからない心臓内の電気信号の流れが把握できます。
カテーテルアブレーション(RFCA)
EPSによって発見された不整脈の原因となっている箇所を焼き切る治療です。
高周波の電流を使用します。
ペースメーカー埋め込み術(PMI)
徐脈性の不整脈の方が適応となる治療です。
心臓内にリードと呼ばれる電極を留置し、不整脈が起きないようにするものです。
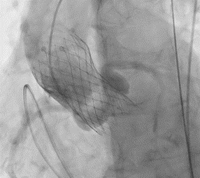
経カテーテル大動脈弁留置術(TAVI)
大動脈弁狭窄症(AS)に対し、手術で胸を開くことなく、カテーテルを用いて人工の大動脈弁を心臓に留置する治療です。

大動脈弁留置後動脈造影
ページの先頭へ戻る
頭頸部領域
頭頚部血管造影(CAG)
頭頚部血管の狭窄や動脈瘤、動静脈奇形の有無などを調べます。

内頸動脈造影
脳動脈瘤コイル塞栓術
脳動脈瘤のなかに金属製の細いコイルを充填させて、瘤内への血流を止めることで破裂を未然に防ぎます。
血栓回収術
血管に詰まった血栓を回収し、脳への血流を確保する治療です。
急性期の脳梗塞の方が適応となります。
頸動脈ステント留置術(CAS)
頸動脈の狭窄部位にステントを留置して、拡張させる治療です。
ページの先頭へ戻る
胸腹部領域
胸部・腹部ステントグラフト挿入術(TEVAR・EVAR)
胸部、腹部領域の大血管に出来た動脈瘤の破裂を防ぐ目的で行われるカテーテル治療です。
ステントグラフトと呼ばれる人工血管をカテーテルを用いて血管内に留置します。
カテーテルは太ももに近い動脈から挿入されるため、開腹を要する外科手術に比べて体にかかる負担も少ない治療です。

EVAR腹部大動脈瘤に対するステントグラフト治療
肝動脈化学塞栓術(TACE)
がん細胞を栄養している動脈までカテーテルを進ませ、カテーテルを通じて抗がん剤や血管を塞栓させる物質を投与します。
栄養血管を絶たれたがん細胞は活性を失うため、低侵襲ながん治療の一つとして知られています。

腹腔動脈造影

選択的動脈造影(上画像と同一症例)
動脈性出血に対する止血術(TAE)
喀血などの呼吸器系出血、吐血や下血などの消化管出血。また、事故などのような外傷の時は動脈の損傷により、体内で出血が認められる場合があります。
そのような動脈性の出血を止血する目的で、カテーテル治療が選択されます。
損傷した血管の近くまでカテーテルを進め、コイルや薬剤を用いて血流を止めます。

骨盤部動脈造影
副腎静脈サンプリング(AVS)
副腎からアルドステロンが過剰に分泌されると、高血圧等の症状を引き起こしてしまいます。
太ももの付け根の静脈から左右の副腎静脈までカテーテルを挿入して、より副腎に近い静脈から採血を行うことで、アルドステロンの過剰分泌が片側性なのか両側性なのかを判断できるため、治療方針を決める上で非常に重要な検査です。

右副腎静脈

左副腎静脈
ページの先頭へ戻る
四肢領域
下肢動脈造影
下肢を栄養する動脈の形状、血流を評価する目的で行われます。
カテーテルを通して造影剤を注入します。撮影した血管の状態により、治療方針が決定します。
下肢動脈造影
下肢動脈閉塞部に対する治療(EVT)
閉塞した下肢の血流を改善する目的で行われます。
目的部位までカテーテルを進め、様々なデバイスを用いて閉塞部位の改善を試みます。
血管造影検査室の装置
1Fカテーテル室
PHILIPS社製
心臓領域や下肢領域のカテーテル検査・治療を行っています。
救命救急センターに隣接しており、救急搬入時にも迅速に対応できるようになっています。
4Fハイブリッド手術室
PHILIPS社製
心臓、大血管、下肢領域の検査や治療を行います。
手術室と隣接しており、手術室と同等の清潔さや設備を持つ治療室です。
開腹等の緊急手術にも対応可能です。
DSA室
SIMENS社製
腹部領域、頭頚部領域のカテーテル検査や治療を行っています。
外傷や臓器からの出血の止血術はこの装置で行われます。
Copyright © City of Sapporo All rights Reserved.