市立札幌病院公式ホームページ > 診療科・部門 > 部門 > 放射線部について > 放射線治療 > 放射線治療を受けられる患者さんへ
ここから本文です。
更新日:2025年10月8日
放射線治療科の受診から放射線治療を受けるまでの流れをご案内します。
放射線治療科の医師から、治療の内容や注意点、副作用などについてご説明します。患者さんの同意をいただいた後、治療の準備やスケジュールの調整を進めていきます。お仕事を続けながら治療を受ける方や、遠方から通院される方など、さまざまなご事情があるかと思います。当院では、患者さんのライフスタイルにできるだけ寄り添いながら、安心して治療を受けていただけるよう心がけています。放射線治療医や看護師など、スタッフにお気軽にご相談ください。
放射線治療では、放射線を複数回に分けて照射(分割照射法)することがあります。そのため、毎回同じ姿勢で治療を受けることがとても大切です。体を安定させるための固定具を用いることで、毎回の治療で同じ体勢が再現できることや、胸やお腹を少し圧迫することにより、呼吸による治療部位の変動を抑制する効果があります。

頭頚部用Shell

胸部用Shell

吸引式固定具
治療の計画を立てるために、実際の治療と同じ体勢で画像を撮影します。撮影は、患者さんごとに作成した治療用固定具をつけた状態で行います。当院ではX線シミュレータ装置もしくはCTシミュレータ装置を用いて撮影し、その画像をもとに放射線治療の計画を作成します。必要に応じて、体や固定具に治療位置の基準となるシールを貼ったり、線を描くなどのマーキングをします。皮膚などの体表面を治療する場合は、放射線治療医が目で見て直接治療範囲を確認することもあります。画像撮影と固定具の作成は、通常同じ日に行います。
※画像撮影後、治療開始まで少しお時間をいただいております。
※体に記したマーカーは大切な目印ですので、消えないようご協力をお願いします。

X線シミュレータ

CTシミュレータ
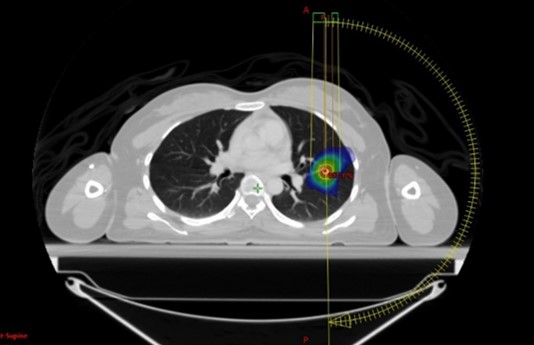
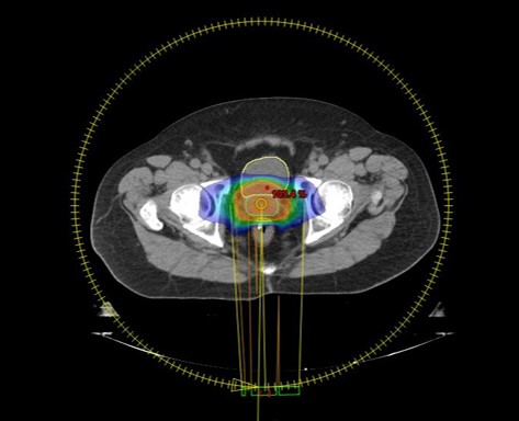
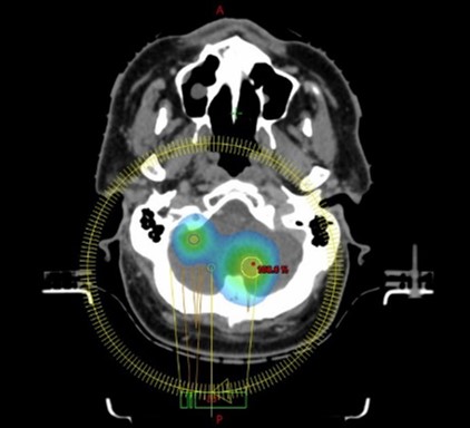
撮影した画像をもとに、放射線治療医・医学物理士・放射線技師が協力して治療計画を作成します。PET-CTやMRIなどの画像を撮影した場合には、それらの画像も活用しながら治療計画を行います。治療計画完成後は、複数の測定器を使って実際に計画通り正確に放射線が照射されているかを慎重に確認しています。

頚部VMAT

肺SBRT

前立腺VMAT

HyperArc
検証作業
放射線治療の初日は、作成した固定具を使いながら画像撮影時に記したマーキングをもとに位置合わせを行い、計画とズレがないか慎重に確認をし、最終的に放射線治療医の承認を経て治療が始まります。治療室に入室してから退室するまで、10〜30分程度となります。ただし、実際に放射線があたっている時間は数分だけで、残りの時間はほぼ位置合わせや確認のための時間となっています。治療中は、スタッフがモニターで患者さんの様子を見守っていますので、安心して治療を受けていただくことができます。

治療の様子(位置合わせ)

治療の様子(照射中)
放射線治療の期間中は、医師・看護師・放射線技師などがチームで患者さんを見守ります。医師は毎週の診察を通じて、治療の効果や副作用の有無を確認します。看護師や放射線技師は、毎日治療時に患者さん一人一人の状態を確認し、細やかな対応を心がけています。また、多職種合同でのカンファレンスを毎週開催し、患者さんの状態をスタッフ全員で把握できる体制を整えています。

カンファレンスの様子
放射線治療は、さまざまな職種の職員が力を合わせて行っております。
このページについてのお問い合わせ
Copyright © City of Sapporo All rights Reserved.