妊娠鑑定

ボルネオオランウータン「レンボー」の妊娠鑑定の様子(2018年)
今回は2018年から2020年にかけて取り組んだ、ボルネオオランウータン「レンボー」のハズバンダリートレーニングによる超音波妊娠鑑定と、胎児の成長記録の取組についてお伝えします。
1 取組の意義
ハズバンダリートレーニングは、動物園の健康管理や獣医療を推進していくうえで、もはや欠かせない手法となっています(ハズバンダリートレーニングの詳細については(1)健康管理をご覧ください)。
「繁殖」、「調査・研究」を推進していくことは、動物園において使命であり、妊娠の状態や胎児の成長を確認することは、繁殖を成功させるため、そして、オランウータンの妊娠の様子や胎児の様子を記録し研究に繋げていくうえで、とても大きい意義がありました。
2 ハズバンダリートレーニングの様子
ハズバンダリートレーニングは飼育担当者が綿密な計画をねり、継続的にそして慎重に進めていきました。また、取組の成功には飼育担当者と獣医師の連携が必須であったため、トレーニング後の打ち合わせにはとても時間をかけました。また、オランウータンは非常に知性が高い動物であるため、不信感をもたれ信頼関係を失わないことも大切でした。獣医師はトレーニングに週1回の参加であったため、不信感を抱かれないようにするために、飼育担当者が「レンボー」に出す合図にあわせて毎週同じ動きをすることを意識していました。
3 転機は「へそ」
トレーニングを始めてしばらくの間、超音波で子宮の位置をうまく特定することが出来ませんでした。獣医師は毎週超音波を当てる位置を変えるなど工夫をしていましたが、子宮の近くにあるはずの膀胱さえも超音波の画像に写りません。少し焦りがあったある日、転機がありました。ある日、こんな会話が飼育担当者と獣医師の間でありました。
飼育担当者「へそがここにあって・・・・」
獣医師「へそあるの(驚き)!?」
冷静に考えれば哺乳類なのでへそがあることは当たり前なのですが、毎週高い緊張感のなかでトレーニングに参加していた獣医師は判断力が鈍っていました。へその位置が分かれば、へそより下側に膀胱や子宮があることは明らかです。この会話以降、安定して膀胱の位置や子宮の位置を写すことが出来るようになり、国内では初めてとなる胎児の成長の記録の成功につながりました。会話は大切だなと再確認した忘れられない日となりました。
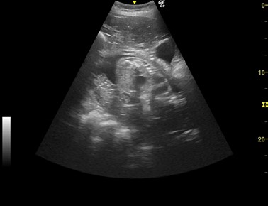
4 胎芽がうつる

2018年8月2日(妊娠10週目)ついに「胎芽」が写る
妊娠検査薬は陽性を示し「レンボー」が妊娠していることは、ほぼ間違いないことが分かっていた2018年8月2日、これまでの取組が結果となる日が来ました。ついに「胎芽」を写すことに成功しました。妊娠10週目のことでした。
「胎芽」とは妊娠初期のまだ心臓の拍動も確認できない胎児の状態をいいます。この時わずか12㎜の大きさです。これほど妊娠初期の段階の画像を残すことが出来たのは、学術的にもとても大きな成果であったと思います。
5 胎児の成長記録
ハズバンダリートレーニングによる超音波検査の素晴らしいところは、動物にとってストレスが少ないことです。また、写真では分かりにくいのですが、「レンボー」は検査が嫌になれば、自ら検査から逃れることが出来る環境で検査を実施しています。そのため、毎週一回の超音波検査を継続し、胎児の成長を記録することが出来ました。ここでは、その一部を紹介します。

2019年10月11日(妊娠20週目)顔が写る

2019年10月30日(妊娠23週目)全身が写る
6 誕生
2020年2月3日に仔が無事に生まれました。わずか12mmの胎芽のときから毎週超音波検査を通してみていたので、とても感慨深かったのを覚えています。また、このハズバンダリートレーニングを実施するチームに加われたことにとても感謝しました。

2020年2月3日(妊娠37週目)誕生
7 新オランウータン館について
現在建設中の新オランウータン館では、この時に得られた知見を活かし、更なる充実した健康管理が出来るようにデザインされています。また、展示としてもお客様に本来のオランウータンの行動を観察していただけますよう、様々な工夫がされています。これからの円山動物園のオランウータンに是非とも期待してください。(記:令和5年5月31日)
Copyright © City of Sapporo All rights Reserved.