ここから本文です。

更新日:2024年11月30日

シセンレッサーパンダ「セイタ」の治療について

シセンレッサーパンダ セイタ

シセンレッサーパンダ「セイタ」

【令和6年(2024年)11月30日掲載】

シセンレッサーパンダ「セイタ」の病状についてお知らせいたします。

「セイタ」については、11月27日より園内動物病院のICUで治療を継続しております。神経疾患を疑う症状が複数認められたため、11月29日に北海道大学獣医学部附属動物医療センターで精密検査を実施したところ、以下のような疾患が認められました。

・左大脳の出血と周囲の脳浮腫
・変性性腰仙椎狭窄症

引き続き、園内動物病院にて治療と看護を行ってまいります。状況に変化がありましたら、改めてお知らせいたします。

※変性性腰仙椎狭窄症:腰骨の異常により脊髄が圧迫され、後ろ足の歩き方に異常が生じるなどの神経症状が起きる疾患


【令和6年(2024年)11月28日掲載】

シセンレッサーパンダ「セイタ」(オス、19歳)の現在の状況をお知らせいたします。

 令和6年(2024年)11月27日の午前中、「セイタ」は室内展示場で立ち上がれなくなっていました。園内動物病院で麻酔下での検査を行い、重度の変形性脊椎症と右後肢の膝蓋骨骨折が認められました。現在、園内動物病院のICU内に入院中であり、継続して治療を行ってまいります。

 今後、しばらくは観覧していただくことができませんので、ご理解いただきますようお願い申し上げます。

・変形性脊椎症:加齢により発症率が上がる背骨が変形する病気です。症状としては無症状であることが多いとされていますが、腰痛が認められることがあります。

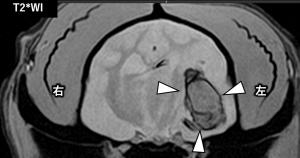
セイタの脳のMRI画像

「セイタ」の脳のMRI画像 矢頭:左大脳の出血(黒っぽい領域)

このページについてのお問い合わせ

札幌市円山動物園

〒064-0959 札幌市中央区宮ケ丘3番地1

電話番号:011-621-1426

ファクス番号:011-621-1428